لماذا تختار عيادة تجميل؟
- يتم إجراء الجسر التجميلي في دبي على يد أحد أكثر الأطباء خبرة ضمن فريق عيادة تجميل، مع أسعار مناسبة تتراوح بين 999 و1799 درهم.
- حاصل على اعتماد من إحدى المؤسسات المرموقة في دولة الإمارات.
- يمتلك خبرة متقدمة في مجال طب الأسنان التجميلي.
- يعتمد على أحدث التقنيات والأجهزة لضمان نتائج دقيقة.
- لديه سجل مهني متميز يعكس كفاءة وموثوقية الخدمات المقدمة.
- يعمل على وضع خطة علاجية مخصصة لكل حالة وفقًا للاحتياجات الفردية.
- يتم تقديم رعاية شاملة تضمن راحة المريض وتحقيق أفضل النتائج.
العنوان: 1089 شارع الوصل – المنارة – دبي – الإمارات العربية المتحدة
قائمة المحتويات
- لماذا تختار عيادة تجميل؟
- د. خالد الإيباوي | ابتسامة واثقة مع جسور تجميلية متينة
- جسر الأسنان التجميلي في دبي | تعويض مثالي للأسنان بابتسامة طبيعية!
- النتائج المتوقعة لجسر الأسنان التجميلي في دبي
- مدة بقاء جسر الأسنان التجميلي في دبي
- فوائد جسر الأسنان التجميلي في دبي
- أنواع جسور الأسنان التجميلية في دبي
- لماذا يُعد جسر الأسنان التجميلي خيارًا شائعًا في دبي؟
- العناية قبل تركيب الجسور التجميلية في دبي
- تركيب الجسر السني التجميلي | نظرة تفصيلية
- الخطوة 1: الاستشارة
- الخطوة 2: التخدير
- الخطوة 3: الطبعات
- الخطوة 4: تصنيع الجسر المؤقت
- الخطوة 5: التركيب النهائي للجسر
- إرشادات العناية الأساسية بعد تركيب الجسر السني التجميلي
- فترة التعافي بعد تركيب الجسر التجميلي
- اليوم الأول (التعافي الفوري):
- الأسبوع الأول (فترة التكيف):
- الأسبوع الثاني (تركيب الجسر الدائم):
- من 3 إلى 6 أشهر (مرحلة التكيف):
- مقارنة بين الزرعات السنية والجسور
- تكلفة الجسور السنية التجميلية في دبي
- العوامل المؤثرة على تكلفة الجسور التجميلية في دبي
- الآثار الجانبية للجسور السنية
- للحجز والاستفسار
- الأسئلة الشائعة
- كيف يمكن حجز موعد لإجراء الجسر التجميلي في دبي؟
- كم تبلغ تكلفة الجسر السني التجميلي في دبي؟
- كم يستغرق تركيب جسر الكانتليفر في دبي؟
- هل يسبب تركيب الجسر السني الخزفي ألمًا؟
- كم تدوم الجسور التجميلية؟
- هل الجسور التجميلية مقاومة للتصبغات؟
د. خالد الإيباوي | ابتسامة واثقة مع جسور تجميلية متينة
يُعتبر د. خالد الإيباوي أحد أبرز أطباء تقويم الأسنان بفضل خبرته الواسعة وكفاءته العالية في إجراء عمليات ترميم الأسنان المتقدمة بدقة متناهية واهتمام بالغ، يتمتع بتدريب متخصص في تركيبات الأسنان وعلاج جذورها، مما يؤهله لتقديم رعاية استثنائية تنطلق من مبدأ وضع احتياجات المريض في صدارة الأولويات.
هل تعاني من الفراغات بين أسنانك أو تواجه صعوبة في المضغ؟ توقف عن البحث! نحن نقدم لك الحل الأمثل مع جسر الأسنان التجميلي في دبي، المصمم لاستعادة جمال ابتسامتك والتخلص من الفراغات التي قد تؤثر سلبًا على ثقتك بنفسك. دعنا نساعدك في تحقيق ابتسامة مشرقة وصحة فموية مثالية!
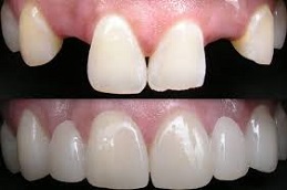
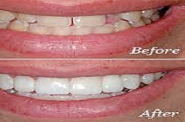
جسر الأسنان التجميلي في دبي | تعويض مثالي للأسنان بابتسامة طبيعية!
يُعد جسر الأسنان التجميلي إجراءً فعالًا في ترميم الأسنان، حيث يهدف إلى تعويض الأسنان المفقودة، حيث يتيح هذا الحل التعويضي سدّ الفراغ الناتج عن فقدان سن أو أكثر، كما يساعد على استعادة المظهر الطبيعي للأسنان بشكل ينسجم بسلاسة مع الأسنان الأصلية.
النتائج المتوقعة لجسر الأسنان التجميلي في دبي
يساعد جسر الأسنان التجميلي على تحقيق نتائج ملحوظة تمنحك ابتسامة أكثر إشراقًا، كما يساهم في تحسين القدرة على التحدث والمضغ بشكل أفضل، مع الحفاظ على توازن ملامح الوجه، بالإضافة إلى ذلك، يعزز من كفاءة وظائف الفم بشكل عام.
مدة بقاء جسر الأسنان التجميلي في دبي
يمكن أن يدوم جسر الأسنان ما بين 15 إلى 30 عامًا، إلا أن هذه المدة تختلف من حالة لأخرى بحسب صحة الفم ومستوى العناية بالجسر.
فوائد جسر الأسنان التجميلي في دبي
يوفّر جسر الأسنان العديد من المزايا، من أبرزها:
- استعادة المظهر الطبيعي للأسنان
- تحسين المظهر الجمالي العام
- نتائج طويلة الأمد
- المساعدة في تحسين موضع الفك
- المساهمة في تصحيح عدم انتظام الأسنان
- التقليل من مشكلة تراكب الأسنان
- سدّ الفراغات بين الأسنان
- استعادة الابتسامة بثقة
- تحسين القدرة على المضغ والتحدث بعد فقدان الأسنان
أنواع جسور الأسنان التجميلية في دبي
| النوع | الأنسب لـ | معلومات إضافية |
| الجسر التقليدي | مناسب لتعويض سن إلى ثلاثة أسنان مفقودة بين أسنان قوية ومتجاورة | يتميز بالمتانة ويمنح مظهرًا طبيعيًا. |
| جسر الكانتليفر | يُستخدم عند توفر دعم من جهة واحدة فقط | يُعد من الخيارات الأقل تدخلاً |
| جسر ماريلاند | مثالي لتعويض الأسنان الأمامية مع تحضير بسيط | يُعتبر خيارًا يمكن التراجع عنه |
| الجسر المدعوم بالزرعات | مناسب لتعويض عدة أسنان مفقودة يتم تثبيته على زرعات صناعية |
يساعد في الحفاظ على الأسنان الطبيعية |
لماذا يُعد جسر الأسنان التجميلي خيارًا شائعًا في دبي؟
قد يتردد البعض في إجراء جسر الأسنان التجميلي، لكن هناك عدة أسباب تجعله خيارًا مناسبًا، منها:
- فقدان الأسنان نتيجة إصابة أو حادث
- البحث عن بديل لزراعة الأسنان
- الرغبة في تصحيح مشاكل اصطفاف الفك
- الحاجة إلى تحسين صحة الفك
- المعاناة من صعوبات في المضغ بسبب فقدان الأسنان
العناية قبل تركيب الجسور التجميلية في دبي
بعد اتخاذ قرار تركيب الجسر في دبي، يجب ترتيب جلسة استشارة مع الأخصائي، حيث يتم إجراء فحص شامل لصحة الفم، كما يقوم طبيب تقويم الأسنان بتقديم مجموعة من إرشادات العناية المسبقة، والتي تشمل:
- الحفاظ على نظافة الفم.
- امتلاك توقعات واقعية من العلاج.
- تنظيف الأسنان بالفرشاة والخيط مرتين يوميًا.
- التوقف عن تناول الأدوية المميعة للدم.
تركيب الجسر السني التجميلي | نظرة تفصيلية
يتضمن إجراء تركيب الجسر السني في دبي عدة خطوات، وهي:
الخطوة 1: الاستشارة
- إجراء فحص شامل.
- التقييم باستخدام الأشعة السينية أو التصوير المقطعي.
- أخذ طبعات الأسنان.
- تخصيص خطة العلاج وفقًا لتفضيلات الحالة.
الخطوة 2: التخدير
- إعطاء التخدير لتقليل الانزعاج.
- يقوم طبيب الأسنان بإعادة تشكيل الأسنان الداعمة.
- إزالة طبقة رقيقة من مينا الأسنان (0.5 – 2 مم).
الخطوة 3: الطبعات
- إنشاء طبعة ثلاثية الأبعاد باستخدام الماسح داخل الفم.
- مطابقة اللون مع الجسر الجديد.
الخطوة 4: تصنيع الجسر المؤقت
- صنع الجسر المؤقت، ثم تثبيته باستخدام مواد لاصقة.
- تصنيع الجسر الدائم وفقًا للطبعة المأخوذة.
الخطوة 5: التركيب النهائي للجسر
- بعد تصنيع الجسر بدقة وفقًا لطبعة الأسنان، يتم إزالة الجسر المؤقت.
- يتم تركيب الجسر الدائم للتحقق من ملاءمته للأسنان.
- بعد التأكد، يتم تثبيت الجسر باستخدام الإسمنت السني بدقة.
إرشادات العناية الأساسية بعد تركيب الجسر السني التجميلي
تشمل تعليمات العناية اللاحقة التي يجب اتباعها لزيادة عمر الجسر السني الخزفي في دبي ما يلي:
- الحفاظ على نظافة الفم.
- الالتزام بالمراجعات الدورية.
- تنظيف الأسنان بالفرشاة والخيط بانتظام.
- الامتناع عن تناول الأطعمة القاسية.
- شطف الفم باستخدام غسول فم مطهر.
- تجنب تناول الأطعمة التي قد تسبب تسوس الأسنان.
فترة التعافي بعد تركيب الجسر التجميلي
فيما يلي الجدول الزمني للتعافي بعد تركيب الجسر السني في دبي:
اليوم الأول (التعافي الفوري):
- حدوث حساسية بدرجة خفيفة.
- قد يحدث ألم خفيف.
- قد تبدو العضة غير طبيعية.
- الاعتماد على المسكنات لتخفيف الانزعاج.
الأسبوع الأول (فترة التكيف):
- قد يحدث ألم أو حساسية في اللثة.
- ظهور تهيج خفيف في الخد أو اللسان.
- ملاحظة زيادة في إفراز اللعاب.
- الامتناع عن تناول الأطعمة اللزجة.
الأسبوع الثاني (تركيب الجسر الدائم):
- تستعيد العضة إحساسها الطبيعي.
- قد تستمر حساسية الأسنان بشكل بسيط.
- يجب استخدام معجون أسنان غير كاشط.
من 3 إلى 6 أشهر (مرحلة التكيف):
- تبدأ أنسجة اللثة بالتكيف مع شكل الجسر خلال 4 إلى 8 أسابيع.
- تعود العضة إلى الشعور الطبيعي بالكامل.
مقارنة بين الزرعات السنية والجسور
فيما يلي الفرق الأساسي بين الجسور السنية والزرعات:
الزرعات السنية:
|
الجسور السنية:
|
تكلفة الجسور السنية التجميلية في دبي
تعد تكلفة الجسر التجميلي في دبي مناسبة، حيث تتراوح بين 999 درهم إماراتي إلى 1799 درهم إماراتي. ولكن قد تختلف تكلفة الجسر التجميلي في دبي بناءً على عدة عوامل تؤثر بشكل أساسي على السعر الإجمالي.
العوامل المؤثرة على تكلفة الجسور التجميلية في دبي
قد تختلف تكلفة الجسر التجميلي في دبي بناءً على عدة عوامل تشمل:
| موقع العيادة. | خبرة طبيب تقويم الأسنان. | الأدوات والتقنيات المستخدمة. |
| تعقيد الحالة. | العلاجات الإضافية. | جلسات التعديل أو المتابعة. |
الآثار الجانبية للجسور السنية
في حال ظهور أي من المضاعفات التالية بعد تركيب الجسر السني في دبي، يجب مراجعة طبيب الأسنان فورًا:
| ألم مستمر. | تشقق في الجسر. | حساسية. |
| التهاب اللثة. | ردود فعل تحسسية. | صعوبة في المضغ. |
للحجز والاستفسار
في حال الرغبة في الحصول على ابتسامة واثقة ومتناسقة، يمكن حجز موعد في عيادة تجميل لتركيب الجسور التجميلية في دبي من خلال ملء نموذج الحجز المتوفر أدناه.
الأسئلة الشائعة
كم تبلغ تكلفة الجسر السني التجميلي في دبي؟
تتراوح تكلفة الجسر السني التجميلي في دبي بين 999 إلى 1799 درهم إماراتي.
كم يستغرق تركيب جسر الكانتليفر في دبي؟
عادةً ما يتطلب تركيب الجسر زيارتين إلى ثلاث زيارات على مدار عدة أسابيع.
هل يسبب تركيب الجسر السني الخزفي ألمًا؟
بعد تركيب الجسر، يكون الألم طفيفًا نظرًا لاستخدام التخدير الموضعي.
كم تدوم الجسور التجميلية؟
تدوم الجسور التجميلية لمدة لا تقل عن 10 إلى 15 سنة.
هل الجسور التجميلية مقاومة للتصبغات؟
نعم، معظم المواد المستخدمة مثل البورسلان والزركونيا مقاومة للتصبغ، ولكن يُنصح بالحفاظ على نظافة الفم والأسنان للحفاظ على مظهرها.
English

